

हॉस्पिटलमध्ये एमआरआय आणि सीटी स्कॅनसारख्या चाचण्यांबद्दल तुम्ही ऐकलं असेलच. पण तुम्हाला माहित आहे का या दोन वैद्यकीय चाचण्यांमध्ये काय फरक आहे. ते कधी करणे आवश्यक आहे? यापैकी कोणत्या चाचण्या वारंवार करून घेणे हानिकारक ठरू शकतं. एमआरआय आणि सीटी स्कॅनची कामं काय आहेत? या दोन्ही वैद्यकीय परीक्षांशी संबंधित समान प्रश्नांबद्दल जाणून घेऊया.
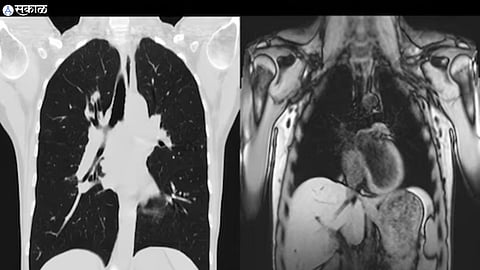
सर्व प्रथम MRI बद्दल बोलूया. त्याचा फुल फॉर्म ‘मॅग्नेटिक रेझोनान्स इमेजिंग’ आहे. हे एक वैद्यकीय इमेजिंग तंत्र आहे. सोप्या भाषेत सांगायचं झाल्यास याच्या मदतीने आपल्या शरीरातील फोटो काढले जातात. मग त्या प्रतिमांवरून शरीरात विकसित होणारा रोग ओळखला जातो. मेंदूशी संबंधित आजार शोधण्यासाठी त्याचा वापर महत्त्वाचा आहे.
शरीराच्या आतील बदल पाहण्यासाठी आणि फोटो घेण्यासाठी एमआरआय चुंबकीय आणि रेडिओ लहरींचा वापर करते. सॉफ्ट टिश्यू इमेजिंगसाठी ही चाचणी अधिक चांगली आहे. सामान्यतः मेंदू, मणक्याचे आणि अवयवांच्या तपशीलवार तपासणीसाठी वापरलं जातं. याशिवाय, सांधे, मेंदू, मनगट, घोटा, छाती, हृदय आणि रक्तवाहिन्या तपासण्यासाठी देखील याचा वापर केला जातो.
सीटी स्कॅन म्हणजे संगणित टोमोग्राफी स्कॅन. हे देखील एक वैद्यकीय इमेजिंग तंत्र आहे. हे आपल्या शरीरातील अवयवांच्या छोट्या छोट्या प्रतिमा घेऊन त्यांचा अभ्यास करण्यास मदत करते. हा एक प्रकारचा त्रिमितीय एक्स रे आहे. या स्कॅनमध्ये, एक्स रे आणि कम्प्युटरच्या मदतीने आपल्या शरीराच्या क्रॉस सेक्शनल प्रतिमा तयार केल्या जातात, ज्यामुळे शरीरात विकसित होणारा रोग समजण्यास मदत होते.
सीटी स्कॅन हाडं तपासण्यासाठी अधिक चांगले असतात आणि अनेकदा आपत्कालीन परिस्थितीत वापरले जातात. हे एक्स रेच्या अधिक तपशीलवार आणि स्पष्ट प्रतिमा प्रदान करते. एमआरआय आणि सीटी स्कॅन वेगवेगळ्या इमेजिंग तत्त्वांवर काम करतात. एमआरआय आपल्या शरीरातील फोटो घेण्यासाठी चुंबकीय आणि रेडिओ लहरींचा वापर करतो. तर सीटी स्कॅनमध्ये, एक्स रेचा वापर शरीरातील अवयवांच्या क्रॉस सेक्शनल प्रतिमा तयार करण्यासाठी केला जातो.
सीटी स्कॅन पुन्हा पुन्हा करू नये. असं करणं तुमच्यासाठी हानिकारक ठरू शकतं. परंतु एमआरआय वारंवार इमेजिंगसाठी सुरक्षित मानलं जातं. सीटी स्कॅन हाडं तपासण्यासाठी, कॅल्सिफिकेशन शोधण्यासाठी आणि संपूर्ण शरीर पटकन स्कॅन करण्यासाठी चांगलं आहे. तर एमआरआय मेंदू, स्नायू आणि अवयव यांसारख्या मऊ उतींसाठी चांगलं आहे.
सकाळ+ चे सदस्य व्हा
ब्रेक घ्या, डोकं चालवा, कोडे सोडवा!
शॉपिंगसाठी 'सकाळ प्राईम डील्स'च्या भन्नाट ऑफर्स पाहण्यासाठी क्लिक करा.
Read latest Marathi news, Watch Live Streaming on Esakal and Maharashtra News. Breaking news from India, Pune, Mumbai. Get the Politics, Entertainment, Sports, Lifestyle, Jobs, and Education updates, मराठी ताज्या बातम्या, मराठी ब्रेकिंग न्यूज, मराठी ताज्या घडामोडी. And Live taja batmya on Esakal Mobile App. Download the Esakal Marathi news Channel app for Android and IOS.