

नाशिक : कोरोनाची स्वॅब तपासणी तशी खर्चिक आहे. त्यामुळे आधी या तंत्रज्ञानाद्वारे खात्री करून घेत अधिक गंभीर स्वरूपाच्या रूग्णांची स्वॅब तपासणीद्वारे खातरजमा करता येऊ शकते. अगदी काही मिनीटांत कोरोनाचे निदान करण्यासंदर्भातील तंत्रज्ञान अवगत केल्यानंतर आता ईएसडीएस यांच्यामार्फत आणखी एक पाऊल पुढे टाकले आहे. यात एखाद्या व्यक्तीला कोरोना झाले असल्याची भिती वाटत असल्यास त्यांनी कुठेही न जाता त्यांच्या घराजवळ, कंपनी किंवा कार्यालयाच्या ठिकाणी डिजीटल एक्स-रे मोबाईल व्हॅन जाऊन एक्स-रे काढू शकणार आहे. तर एक्स-रे काढल्यानंतर काही मिनीटांत कोरोनाची लागण झालेली आहे की नाही, यासंदर्भातील अहवालदेखील प्राप्त करून घेता येणार आहे.
कसे ते पाहा...
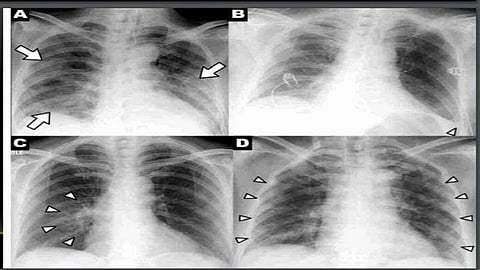
ईएसडीएसमार्फत काही दिवसांपूर्वीच एक्स-रेच्या सहाय्याने कोरोनाचे निदान करण्याचे तंत्र अवगत करण्यात आले आहे. आर्टिफिशियल इंटेलिजन्स (एआय) आणि मशीन लर्निंग या तंत्रज्ञानाचा वापराद्वारे हे शक्य झाले आहे. "ए ए प्लस कोविड-19 टेस्टिंग सोल्यूशन' असे या महत्त्वकांक्षी प्रकल्पाचे नाव आहे. यामध्ये संशयीतांच्या छातीचा एक्स-रे काढून तो ईएसडीएसच्या पोर्टलवर लॉगइन करून अपलोड केल्यानंतर दोन मिनीटांमध्ये कोरोनासंदर्भात निदान होत असल्याचा दावा ईएसडीएसने केला आहे.
सध्या चार व्हॅन उपलब्ध
यासंदर्भात ईएसडीएस सॉफ्टवेअर सोल्यूशन्सचे संस्थापक व सीईओ पीयुष सोमाणी म्हणाले, की सध्या आम्ही चार डिजीटल एक्स-रे मोबाईल व्हॅन नाशिकमध्ये उपलब्ध करून दिल्या आहेत. कंपनीचे कार्यालय, कारखाना, खासगी कार्यालय, शाळा, महाविद्यालय किंवा अन्य कुठल्याही सार्वजनिक ठिकाणी ही व्हॅन उभी करत कोरोनाबाबतचे स्क्रीनिंग करता येऊ शकते. कंटेंमेंट झोन (प्रतिबंधित क्षेत्र) परीसरातील संशयीतांची तपासणी करतांनादेखील ही व्हॅन प्रभावी माध्यम ठरू शकेल.
अशी होते चाचणी
या व्हॅनमध्ये एक्स-रे काढण्याची प्रणाली उपलब्ध आहे. ज्या व्यक्तीचा एक्स-रे काढायचा आहे, त्याच्या गळ्यात लॉकेट किंवा अन्य धातूच्या वस्तू असायला नको. व्हॅनजवळ संबंधित व्यक्तीला कॅसेट धरून उभे केले जाते. यानंतर व्हॅनमधील तंत्रज्ञ लांबून या एक्स-रे काढतो. यानंतर कॅसेट सॅनिटाईज केली जाते. काढलेला एक्स-रे पोर्टलवर अपलोड करून कोरोनाबाबतचे निदान करता येऊ शकते.
सकाळ+ चे सदस्य व्हा
ब्रेक घ्या, डोकं चालवा, कोडे सोडवा!
शॉपिंगसाठी 'सकाळ प्राईम डील्स'च्या भन्नाट ऑफर्स पाहण्यासाठी क्लिक करा.
Read latest Marathi news, Watch Live Streaming on Esakal and Maharashtra News. Breaking news from India, Pune, Mumbai. Get the Politics, Entertainment, Sports, Lifestyle, Jobs, and Education updates, मराठी ताज्या बातम्या, मराठी ब्रेकिंग न्यूज, मराठी ताज्या घडामोडी. And Live taja batmya on Esakal Mobile App. Download the Esakal Marathi news Channel app for Android and IOS.