

नागपूर : खासदार राजीव सातव (mp rajiv satao) यांना कोरोना विषाणूचा (coronavirus) संसर्ग झाला. मात्र, कोरोनातून ते बरे झाल्यानंतर त्यांना अचानक सायटोमॅगिलो (cytomegalovirus) या विषाणूची लागण झाली. यात त्यांचा मृत्यू झाला. सायटोमॅगिलो आणि कोरोना या विषाणूचा परस्पर संबंध नाही. मात्र, उपचारादरम्यान स्टिराइडच्या (steroids) अतिवापरातून रोगप्रतिकार शक्तीवर (immunity power) परिणाम होतो. पण, हा सायटोमॅगिलोचा संसर्ग का आणि कसा होतो? याबाबत आम्ही प्रसिद्ध मेंदूरोग तज्ज्ञ डॉ. चंद्रशेखर मेश्राम (neurologist chandrashekhar meshram) यांच्याकडून जाणून घेतले. (cytomegalovirus infection after use of steroids says expert)
कोरोनावरील उपचारादरम्यान स्टिरॉइड्स देण्यात आले. त्यानंतर सायनसपासून बुरशीजन्य आजाराचा प्रारंभ होतो. पुढे जबडा, डोळा आणि नंतर मेंदूपर्यंत पोहोचतो. खासदार राजीव सातव यांना कोरोनांतर सायटोमॅगिलो विषाणूचा संसर्ग झाल्याचे उघड झाले. सायटोमॅगिलो विषाणूची लागण कोणत्याही विषाणूच्या परिणामामुळे होऊ शकते. मात्र अशी प्रकरणे दुर्मीळ असतात. मधुमेह असलेल्या आणि त्या काळात स्टिरॉइड्स देण्यात आलेल्या लोकांमध्ये हे दिसून येते.
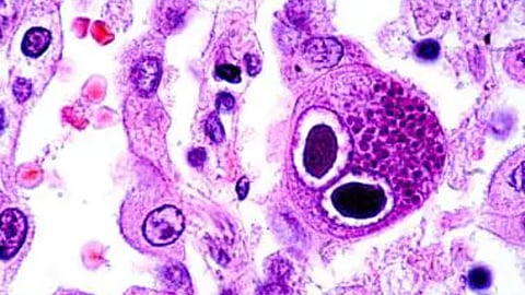
सायटोमॅगिलो विषाणूची लक्षणं -
ज्याप्रकारे म्यूकरमायकोसिस होतो. त्याचप्रकाराचा हा संसर्ग आहे. ताप, थकवा, शरीराचे दुखणे, सांधे दुखी, चेहऱ्यांवर लाल चट्टे, सूर्यप्रकाशात त्वचेवर डाग पडणे, श्वास घेण्यास त्रास, डोळे कोरडे होणे, डोकेदुखी, स्मरणशक्तीचा ऱ्हास होणे हे सायटोमॅगिलची लक्षणे असल्याचे सांगण्यात आले. त्यात मधुमेह असलेल्या रुग्णांमध्ये आकस्मिकदृष्ट्या मेंदूवर परिणाम होऊन सायटोमॅगिलो विषाणूचा संसर्ग होण्याची शक्यता आहे, अशी माहिती मेंदूरोग तज्ज्ञ डॉ. चंद्रशेखर मेश्राम यांनी दिली.
सकाळ+ चे सदस्य व्हा
ब्रेक घ्या, डोकं चालवा, कोडे सोडवा!
शॉपिंगसाठी 'सकाळ प्राईम डील्स'च्या भन्नाट ऑफर्स पाहण्यासाठी क्लिक करा.
Read latest Marathi news, Watch Live Streaming on Esakal and Maharashtra News. Breaking news from India, Pune, Mumbai. Get the Politics, Entertainment, Sports, Lifestyle, Jobs, and Education updates, मराठी ताज्या बातम्या, मराठी ब्रेकिंग न्यूज, मराठी ताज्या घडामोडी. And Live taja batmya on Esakal Mobile App. Download the Esakal Marathi news Channel app for Android and IOS.