मुंबई

10 लाखांतून एकाला होणारा दुर्मिळ आजार,  मुंबईकर स्वप्नीलला हवीये तुमच्या मदतीची गरज

भाग्यश्री भुवड

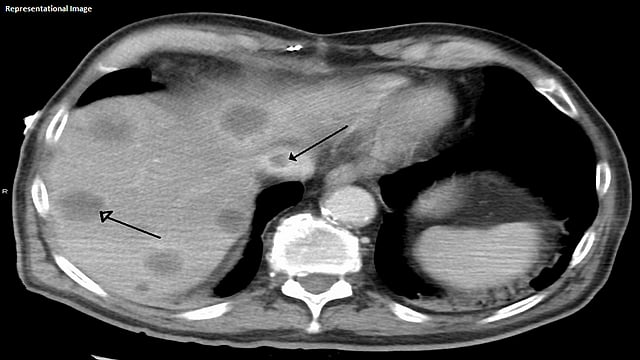
मुंबई : कांजूरमार्ग इथे राहणाऱ्या 30 वर्षीय स्वप्निल सुरेश मालाडकर या तरुणाला गेल्या 5 वर्षांपासून 'बड छिआरी सिन्ड्रोम' ह्या दुर्मिळ आजाराने ग्रासले आहे. हा आजार 10 लाखांमध्ये एका व्यक्तीला होतो. त्यामुळे, स्वप्निलला यकृत प्रत्यारोपणाशिवाय दुसरा पर्याय नसून घरी कमावणारी व्यक्ती कोणी नसल्याने एवढा खर्च त्याला परवडणारा नसल्याचे त्यांच्या कुटुंबाचे म्हणणे आहे.

'बड छिआरी सिन्ड्रोम' आजारात यकृताकडून हृदयाला रक्तपुरवठा करणाऱ्या नसा अतिशय बारीक होत जातात. त्यामुळे रक्तपुरवठ्याच्या कार्यात अडथळा निर्माण होतो. परिणामी रुग्णाचे पोट फुगते, शरीराच्या काही भागांवर सूज येते. या आजारामुळे माझ्या शरीरातील शुद्ध रक्त हृदयापर्यंत जात नसून, यकृताचे कार्यही त्यामुळे बिघडले आहे.  या आजारामध्ये यकृत प्रत्यारोपण हा शेवटचा पर्याय असल्याचे यकृतप्रत्यारोपण तज्ज्ञ डॉक्टरांचे स्पष्ट मत आहे.

या आजारावर वैद्यकीय उपचार करण्यासाठी स्वप्निलने अनेक सरकारी योजना आणि संस्थांकडे त्या अवस्थेमध्येही पायपीट केली. मात्र, हा आजार सरकारी योजनांमध्ये न बसणारा असल्यामुळे अनेक संस्था, न्यास, ट्रस्ट, मुख्यमंत्री सहायता निधी कक्ष यांच्याकडून निधी उपलब्ध होऊ शकला नाही. हा आजार त्या कक्षेमध्ये येत नाही, असे कारण त्याला देण्यात आले. 

सध्या COVID 19 (कोरोना) मुळे लॉकडाउन चालू आहे, सध्याची परिस्थिती अत्यंत वाईट आहे कोणत्याही गोष्टीची पूर्तता वेळेवर होत नाही आहे आणि ह्या परिस्थितीचा परिणाम त्याच्या शरिरावर होत आहे. सध्या त्याचे हिमोग्लोबिन पुन्हा कमी झाले आहे. तसेच रेड ब्लड सेल्स (RBC) तुटत आहेत त्यामुळे नवीन रक्त तयार होत नाही . 

स्वप्निलला आत्तापर्यंत मित्रपरिवारांनी, गाववाल्यांनी,कॉलेज ने आर्थिक स्वरूपात वेळोवेळी मदत केली आहे.  त्यामुळे तो आजाराशी यशस्वीपणे लढा देत आहे. पण सध्याच्या परिस्थितीत त्याला उपचारांसाठी आर्थिक मदत मिळत नाही. त्यामुळे, त्याने दानशुर व्यक्तींना पुढाकार घेऊन मदत करण्याचे आवाहन केले आहे. 

मदत करण्यासाठी बँक डिटेल्स पुढीलप्रमाणे आहेत.
Bank Detail's
Sarika Suresh Maladkar: 
Contact no- 9969077089 
Kotak mahindra bank
Account no- 1713444228
Ifsc code- KKBK0001346

Paytm, PhonePay, Google Pay - 9969077089.

( संपादन - सुमित बागुल )

30 years old swapnil suffering from budd chiari syndrome need help of citizens

सकाळ+ चे सदस्य व्हा

ब्रेक घ्या, डोकं चालवा, कोडे सोडवा!

शॉपिंगसाठी 'सकाळ प्राईम डील्स'च्या भन्नाट ऑफर्स पाहण्यासाठी क्लिक करा.

Read latest Marathi news, Watch Live Streaming on Esakal and Maharashtra News. Breaking news from India, Pune, Mumbai. Get the Politics, Entertainment, Sports, Lifestyle, Jobs, and Education updates, मराठी ताज्या बातम्या, मराठी ब्रेकिंग न्यूज, मराठी ताज्या घडामोडी. And Live taja batmya on Esakal Mobile App. Download the Esakal Marathi news Channel app for Android and IOS.

Rupali Chakankar: मोठी घडामोड! रूपाली चाकणकरांचा राष्ट्रवादी महिला काँग्रेस प्रदेशाध्यक्षपदाचा राजीनामा; सोशल मीडिया पोस्ट चर्चेत

IPL 2026: स्पर्धेआधीच विजेता ठरला! आयपीएल २०२६ ची ट्रॉफी कोण जिंकणार? धुरंधर खेळाडूनं थेट संघाचं नाव सांगितलं, म्हणाला...

Mumbai News : धावत्या जलद लोकलवर दगडफेक; महिला प्रवासी गंभीर जखमी

Pune News : एम्प्रेस गार्डनच्या जागा हस्तांतरणाला विरोध; हरित वारशाच्या रक्षणासाठी जनआंदोलन उभारण्याचे आवाहन

अंदाज चुकला अन्‌ दुचाकीवरील दोघे ट्रकखाली! सोलापुरातील जुना बोरामणी नाका चौकात भीषण अपघात, स्वयंपाकाची ऑर्डर घ्यायला जाताना दोघे ठार, वाचा...

SCROLL FOR NEXT