health-fitness-wellness

आर्टिफिशियल इंटेलिजन्सवर आधारित भन्नाट एक्स रे मशीन सांगणार कोविड संक्रमणाची संभावना

सकाळवृत्तसेवा

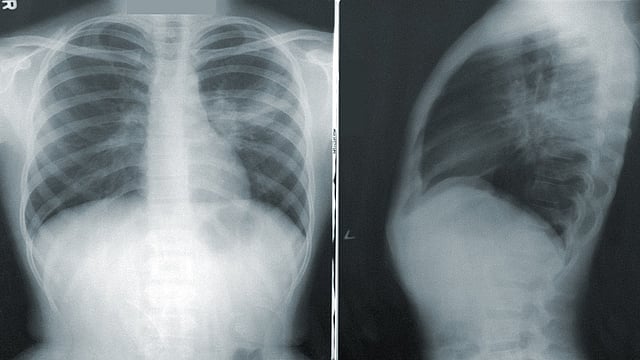
मुंबई - कोरोना संसर्गाचा वाढता प्रादुर्भाव पाहता जगभरातून कोरोनावर कसं नियंत्रण मिळवता येईल याबद्दल अनेक संशोधनं केली जातायत. यामध्ये कोरोनावर लस तर शोधली जातेच आहे. सोबतच कोरोनाची लक्षणं काय, कोरोना संक्रमण असेल तर ते किती आहे, त्याला लवकरात लावलात कसं शोधून काढता येईल यावर देखील अभ्यास सुरु आहे. याच पार्श्वभूमीवर IIT गांधीनगरमधील संशोधकांनी एक उपकरण बनवलंय. या उपकरणाद्वारा एखाद्या व्यक्तीला कोरोनाचं किती संक्रमण झालंय हे समजू शकणार आहे. एक्स रे प्रणालीवरील या उपकरणात आर्टिफिशियल इंटेलिजन्सवरचा आधार घेण्यात आलाय. 

एखाद्या कोरोना संशयित रुग्णाच्या वैद्यकीय चिकित्सेआधी किंवा सोप्या भाषेत सांगायचं तर कोविड टेस्ट आधी हे उपकरण वापरलं जाऊ शकतं. इंडियन इन्स्टिट्यूट ऑफ पब्लिक हेल्थ IIPH द्वारा या आर्टिफिशियल इंटेलिजन्सवर आधारित उपकरणाचं परीक्षण आणि चाचणी केली जातेय.    

कुशपाल सिंह यादव यांनी याबाबत माहिती दिलीये. ते IIT गांधीनगर मधील कॉम्प्युटर सायन्स आणि इंजिनिअरिंग विभागातील एम टेकचे विद्यार्थी आहेत. कोविड परीक्षण करण्यासाठी असलेली संसाधनं अत्यंत सीमित आहेत. याच पार्श्वभूमीवर एक्स रे प्रणाली आणि त्यातही आर्टिफिशियल इंटेलिजन्सवर आधारित हे उपकरण बनवण्यावर भर दिला जात असल्याचं ते म्हणतायत. 

एक उत्तम उपकरण बनवायचं असेल तर त्यासाठी अचूक अल्गोरिदम आणि अचूक डेटा याची सांगड घातली गेली पाहिजे. आम्ही यावरच भर देत असून आम्ही बनवत असलेलं उपकरण या गोष्टींवर खरं उतरेल आणि येत्या काळात ते व्यापारिक वापरासाठी उपलब्ध होईल असा कुशपाल सिंह यादव यांना विश्वास आहे.    

कुशापाल सिंह यादव यांच्या माहितीप्रमाणे ते ज्या मॉडेलवर काम करत आहेत त्यात टेक्निकल नेटवर्कचे १२ लेयर्स आहेत. हे लेयर्स माणसाच्या मेंदूतील न्यूरॉन सारखे काम करतात. या प्रोसेसमध्ये एक्स रे फोटोजच्या माध्यमातून कोरोना संसर्गाची माहिती मिळू शकते. अमेरिकेतील प्रिन्स्टन युनिव्हर्सिटीमध्ये देखील काही संशोधक आर्टिफिशियल इंटेलिजन्सवर आधारित उपकरण बनावट असल्याची माहिती आहे.  

IIT गांधीनगरमधील या प्रोजेक्टचे पर्यवेक्षक प्रोफेसर कृष्णा प्रसाद मियापुरम यांच्या माहितीप्रमाणे जगभरातील अशा उपकरणांपेक्षा भारतातील हे उपकरण श्रेष्ठ ठरणार असल्याचं त्यांनी म्हटलंय.  

AI based artificial intelligence x ray machine will revel the possibility of covid infection

सकाळ+ चे सदस्य व्हा

ब्रेक घ्या, डोकं चालवा, कोडे सोडवा!

शॉपिंगसाठी 'सकाळ प्राईम डील्स'च्या भन्नाट ऑफर्स पाहण्यासाठी क्लिक करा.

Read latest Marathi news, Watch Live Streaming on Esakal and Maharashtra News. Breaking news from India, Pune, Mumbai. Get the Politics, Entertainment, Sports, Lifestyle, Jobs, and Education updates, मराठी ताज्या बातम्या, मराठी ब्रेकिंग न्यूज, मराठी ताज्या घडामोडी. And Live taja batmya on Esakal Mobile App. Download the Esakal Marathi news Channel app for Android and IOS.

Shilpa Shetty Latest News : शिल्पा शेट्टीच्या अडचणी वाढल्या! , आता मुंबईतील घरावरही 'आयकर' विभागाची छापेमारी

SMAT 2025: इशान किशनच्या झारखंडने जिंकली सय्यद मुश्ताक अली ट्रॉफी; पुण्यात झालेल्या फायनलमध्ये कर्णधार ठरला हिरो

Paithan News : पैठणमध्ये नगर पालिका निवडणुकीआधी जादुटोण्याचा धक्कादायक प्रकार; महिला उमेदवाराच्या घरासमोर अघोरी साहित्य!

Nitish Kumar Hijab Incident : हिजाब घटनेनंतर नितीश कुमारांच्या जीवाला धोका? ; यंत्रणांनी सुरक्षा वाढवली!

Crime: भयंकर! ४० वर्षीय प्रेयसीला २७ वर्षीय प्रियकराकडून मूल हवं होतं; तरुणाच्या पत्नीला कळलं अन् भलतंच कांड घडलं!

SCROLL FOR NEXT