cytomegalovirus google
health-fitness-wellness

स्टिराइडच्या वापरानंतर सायटोमॅगिलो विषाणूचा संसर्ग? वाचा काय आहेत लक्षणं

सकाळ वृत्तसेवा

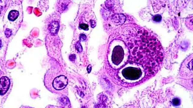
नागपूर : खासदार राजीव सातव (mp rajiv satao) यांना कोरोना विषाणूचा (coronavirus) संसर्ग झाला. मात्र, कोरोनातून ते बरे झाल्यानंतर त्यांना अचानक सायटोमॅगिलो (cytomegalovirus) या विषाणूची लागण झाली. यात त्यांचा मृत्यू झाला. सायटोमॅगिलो आणि कोरोना या विषाणूचा परस्पर संबंध नाही. मात्र, उपचारादरम्यान स्टिराइडच्या (steroids) अतिवापरातून रोगप्रतिकार शक्तीवर (immunity power) परिणाम होतो. पण, हा सायटोमॅगिलोचा संसर्ग का आणि कसा होतो? याबाबत आम्ही प्रसिद्ध मेंदूरोग तज्ज्ञ डॉ. चंद्रशेखर मेश्राम (neurologist chandrashekhar meshram) यांच्याकडून जाणून घेतले. (cytomegalovirus infection after use of steroids says expert)

कोरोनावरील उपचारादरम्यान स्टिरॉइड्स देण्यात आले. त्यानंतर सायनसपासून बुरशीजन्य आजाराचा प्रारंभ होतो. पुढे जबडा, डोळा आणि नंतर मेंदूपर्यंत पोहोचतो. खासदार राजीव सातव यांना कोरोनांतर सायटोमॅगिलो विषाणूचा संसर्ग झाल्याचे उघड झाले. सायटोमॅगिलो विषाणूची लागण कोणत्याही विषाणूच्या परिणामामुळे होऊ शकते. मात्र अशी प्रकरणे दुर्मीळ असतात. मधुमेह असलेल्या आणि त्या काळात स्टिरॉइड्स देण्यात आलेल्या लोकांमध्ये हे दिसून येते.

सायटोमॅगिलो विषाणूची लक्षणं -

ज्याप्रकारे म्यूकरमायकोसिस होतो. त्याचप्रकाराचा हा संसर्ग आहे. ताप, थकवा, शरीराचे दुखणे, सांधे दुखी, चेहऱ्यांवर लाल चट्टे, सूर्यप्रकाशात त्वचेवर डाग पडणे, श्वास घेण्यास त्रास, डोळे कोरडे होणे, डोकेदुखी, स्मरणशक्तीचा ऱ्हास होणे हे सायटोमॅगिलची लक्षणे असल्याचे सांगण्यात आले. त्यात मधुमेह असलेल्या रुग्णांमध्ये आकस्मिकदृष्ट्या मेंदूवर परिणाम होऊन सायटोमॅगिलो विषाणूचा संसर्ग होण्याची शक्यता आहे, अशी माहिती मेंदूरोग तज्ज्ञ डॉ. चंद्रशेखर मेश्राम यांनी दिली.

मेंदूच्या म्युकॉरमायकोसिसचे रुग्ण : बुरशीजन्य आजार कोरोना विषाणूनं बाधित होऊन बऱ्या झालेल्या रुग्णांमध्ये आढळून येतो. काही जणांच्या मेंदूत बुरशी पोहोचली आहे. असे रुग्ण तपासले असल्याचे मेंदूरोग तज्ज्ञ डॉ. चंद्रशेखर मेश्राम म्हणाले. त्याच्या उपचाराची इंजेक्शन्स उपलब्ध आहेत. मात्र, त्या इंजेक्शनची कमतरता आहे. बाजारात उपलब्ध नसल्याचे सांगण्यात येत आहे. यामुळे गरीब रुग्णांसाठी धोक्याची घंटा आहे.
डॉ. चंद्रशेखर मेश्राम , मेंदूतज्ज्ञ
शहरात कोरोना उपचारानंतर मधुमेह असलेल्यांना मोठ्या प्रमाणात बुरशीचा आजार होण्याची दाट शक्यता आहे, त्या तुलनेत सायटोमॅगिलो विषाणूचा संसर्ग होण्याचा धोका कमी आहे. संख्येने असे रुग्ण कमी आढळून येतात. तसेच सायटोमॅगिलो या विषाणूची चाचणी गर्भवती मातांमध्ये करण्यात येते, मात्र ही चाचणी नेहमीच केली जात नाही. एचआयव्ही संसर्गाची चाचणी प्रत्येक गर्भवती मातेची चाचणी केली जाते, तशी सक्ती सायटोमॅगिलो विषाणूच्या बाबतीत नाही.
-डॉ. तिलोत्तमा पराते, सहयोगी प्राध्यापक, मेयो

सकाळ+ चे सदस्य व्हा

ब्रेक घ्या, डोकं चालवा, कोडे सोडवा!

शॉपिंगसाठी 'सकाळ प्राईम डील्स'च्या भन्नाट ऑफर्स पाहण्यासाठी क्लिक करा.

Read latest Marathi news, Watch Live Streaming on Esakal and Maharashtra News. Breaking news from India, Pune, Mumbai. Get the Politics, Entertainment, Sports, Lifestyle, Jobs, and Education updates, मराठी ताज्या बातम्या, मराठी ब्रेकिंग न्यूज, मराठी ताज्या घडामोडी. And Live taja batmya on Esakal Mobile App. Download the Esakal Marathi news Channel app for Android and IOS.

IPL 2026 Orange Cap : नाद करा, या पोरांचा नको... यशस्वी जैस्वाल, वैभव सूर्यवंशीने 'ऑरेंज' कॅप शर्यतीत रोहितला मागे सोडले;Top Five List

RR vs MI Live: युवा जोश, उडवली मुंबईची झोप! यशस्वी जैस्वाल, वैभव सूर्यवंशी यांची दे दणादण फटकेबाजी; ११ षटकांत १५० धावा...

RR vs MI Live: हटा सावन की घटा... वैभव सूर्यवंशीचा तोरा... जसप्रीत बुमराहचा पहिलाच चेंडू षटकार, ३ चेंडूंत कुटल्या १३ धावा, Video

Manoj Jarange: मनोज जरांगेंनी टाळलं अन् धनंजय मुंडे हेलिकॉप्टरने पोहोचले; महंत म्हणाले, सर्वांना सोबत घेऊन चालण्याची परंपरा...

Rice Export : तणावातही भारतीय तांदळाला इराणमध्ये मागणी; युद्धजन्य परिस्थितीवर मात करत उलाढाल, ६५ लाख टन निर्यातीचा अंदाज

SCROLL FOR NEXT